Ingin Gigi Bersih dan Terawat? Scaling Gigi di Poli Gigi Alkindi!

Kini, Poli Gigi Alkindi menyediakan peralatan dental yang berteknologi advance serta terkini untuk keluhan pada gigi kamu dengan pelayanan yang nyaman dan aman tentunya.

Hati-Hati! Bahaya tidak membersihkan karang gigi

Bau Mulut (Halitosis)
Radang Gusi (Gingivitis)
Penyakit Gusi (Periodontitis)
Gigi menjadi Rapuh
Penyakit Jantung

Dikutip dari Mayo Clinic, bakteri yang menyebabkan penyakit gusi (periodontitis) juga dapat meningkatkan risiko terjadinya penyakit jantung. Bakteri yang terkandung dalam karang gigi dapat menginfeksi jaringan penyangga gigi dan dapat menyebar ke seluruh tubuh melalui aliran darah, yang dapat memengaruhi katup jantung.

Kenapa harus melakukan scaling

Gigi yang tidak terawat, selain bisa timbul penyakit juga menyebabkan mulut tidak sedap. Itu pasti akan sangat mengganggu keseharian kamu. Apalagi hingga munculnya karang gigi karena plak yang dibiarkan membuat tampilan gigi tampak tidak terawat. Pasalnya, plak yang mengeras cenderung berwarna kusam, bisa berwarna kuning kecokelatan hingga hitam.

Plak dan karang gigi mengandung jutaan bakteri dan jika tidak dibersihkan secara rutin, dapat menyebabkan periodontitis, kerusakan gigi, atau bahkan hilangnya gigi. Plak dan karang gigi sulit dihilangkan dengan penyikatan biasa, sehingga membutuhkan tindakan dan alat khusus melalui prosedur scaling. Selain untuk membersihkan plak dan karang gigi, scaling gigi juga bermanfaat untuk :

Mengurangi asam dan enzim berlebih yang diproduksi oleh bakteri di dalam mulut yang dapat menyebabkan kerusakan jaringan.

Mengurangi asam dan enzim berlebih yang diproduksi oleh bakteri di dalam mulut yang dapat menyebabkan kerusakan jaringan.

Mengurangi risiko perdarahan atau pembengkakan jaringan akibat dari respons imun tubuh terhadap bakteri pada plak.

Mencegah penyakit periodontitis.

Memelihara kesehatan gigi dan tulang gigi.

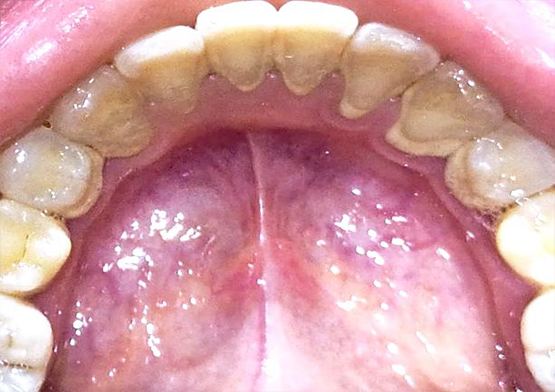
Hasil Scaling di Poli Gigi Alkindi

Before

After

SCALING DI POLI GIGI ALKINDI

Pilihan sistem perawatan yang disesuaikan dengan kondisi dan kebutuhan pasien. Mulai dari standar hingga berteknologi canggih.

Fasilitas medis yang lengkap, nyaman, dan modern serta memenuhi sesuai standar.

Pelatihan secara berkala pada dokter gigi kami agar selalu up-to-date dan tanggap dalam memberikan pelayanan yang memuaskan.

Harga yang terjangkau agar semua kalangan mampu menikmati pembersihan gigi.

AYOO! LAWAN BAU MULUT DENGAN PROMO POLI GIGI ALKINDI
BANYAK UNTUNGNYA!!

HUBUNGI KAMI

Telepon(021) 7721 9559
atau (021) 2986 7985
WhatsApp0819 820 221
atau 0812 8800 0300

KPRJ ALKINDI

Jalan IR. Haji Juanda No. 13, Kemiri Muka, Beji, Kota Depok, Jawa Barat 16423

JAM PRAKTEK

Buka setiap hari
Pukul 08:00 – 16:00

SOCIAL MEDIA